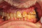
hammond dental before